Causes des infarctus cérébraux
Les maladies à l’origine des infarctus cérébraux sont très nombreuses mais trois dominent par leur fréquence : l’athérosclérose, l’artériolosclérose et certaines maladies cardiaques dites emboligènes. Ces trois maladies rendent compte d’environ deux tiers des infarctus cérébraux.
L’athérosclérose est une maladie des artères de moyen et gros diamètre, comme les artères carotides ou vertébrales qui cheminent dans le cou et les artères intracrâniennes qui cheminent à la base et autour du cerveau. Cette maladie est favorisée par le vieillissement et les facteurs de risque artériel comme l’excès de cholestérol, le tabac, le diabète et l’hypertension artérielle. La conséquence est la formation d’une plaque d’athérosclérose dans la paroi de l’artère, qui rétrécit la lumière de l’artère (Fig. 1). La plaque est composée d’un cœur lipidique et d’une chape fibromusculaire qui isole le cœur lipidique de la lumière artérielle. La gravité de cette maladie est liée à la survenue d’une thrombose (caillot sanguin) au contact d’une plaque devenue instable (Fig. 2). Le thrombus peut se développer dans la lumière artérielle, aboutir à l’occlusion complète de l’artère ou se fragmenter et occlure une artère distale de plus petit calibre. C’est ce qu’on appelle une embolie.

Fig.1 : Rétrécissement de l’origine de l’artère carotide interne par une plaque d’athérosclérose (flèche)

Fig.2 : Coupe transversale d’une artère montant une plaque d’athérosclérose rétrécissant la lumière artérielle avec un thrombus (caillot sanguin) formé au contact de la plaque.
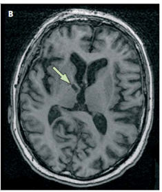
L’artériolosclérose est une maladie des petites artères qui pénètrent dans le cerveau pour le vasculariser (Fig.3). Cette maladie, qui est associée au vieillissement et à l’hypertension artérielle, induit des modifications de la paroi artérielle qui peuvent aboutir à un rétrécissement ou une occlusion de la lumière artérielle ou à une rupture de la paroi. Cette artériopathie peut se compliquer d’infarctus de petite taille (dits lacunaires) (Fig. 4) ou d’hémorragies cérébrales, qui peuvent ou non se manifester par des symptômes neurologiques aigus, en fonction de leur siège et de leur volume.

Fig. 3 : Petites artères cérébrales (astérisque) naissant des artères cheminant à la surface du cerveau et le pénétrant pour vasculariser les structures profondes

Fig 4 : Petit infarctus cérébral (flèche) lié à l’occlusion d’une petite artère cérébrale
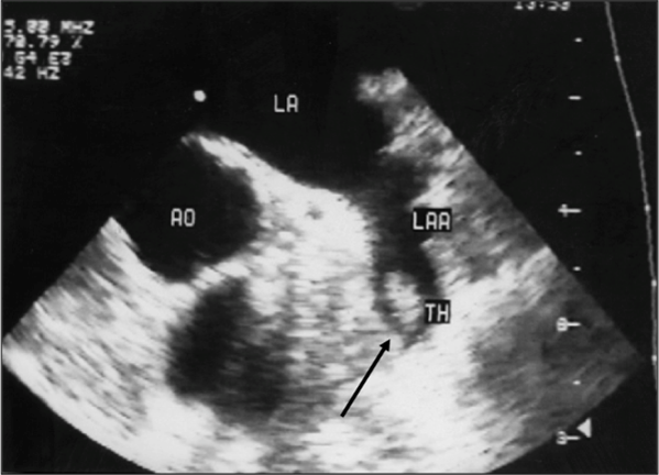
Certaines cardiopathies dites emboligènes favorisent la formation d’un thrombus dans le cœur (Fig. 5), lequel peut migrer dans la circulation cérébrale et occlure une artère cérébrale, provoquant un infarctus cérébral. De nombreuses cardiopathies peuvent être en cause. Les plus fréquentes sont la fibrillation atriale, les cardiopathies ischémiques et les maladies valvulaires cardiaques.

Fig. 5 : Échographie cardiaque montrant un thrombus (TH) dansl’oreillette gauche chez un patient ayant une fibrillation atriale (trouble du rythme cardiaque favorisant la formation d’un thrombus)
Ces 3 causes peuvent s’associer chez un même patient, car elles ont des facteurs de risque commun, en particulier l’hypertension artérielle
D’autres maladies artérielles ou du contenu sanguin peuvent être à l’origine d’un infarctus cérébral. Bien que rares, ces maladies sont cependant importantes à rechercher, car elles nécessitent parfois des traitements spécifiques. L’une d’entre elles – la dissection artérielle – mérite une mention particulière car elle représente la principale cause identifiable d’infarctus cérébral de l’adulte jeune. Elle est due à la formation d’un hématome dans la paroi artérielle, provoquant un rétrécissement voire une occlusion artérielle (Fig. 6).

Fig. 6 : Imagerie par résonance magnétique nucléaire (IRM) montant un hématome (en blanc) dans la paroi de
l’artère carotide interne. A: coupe transversale au niveau du cou. B. coupe sagittale au niveau du cou.
Enfin dans environ 30% des cas, aucune cause ne peut être mise en évidence. Ces infarctus sont dits cryptogéniques.
Causes des hémorragies cérébrales
L’artériolosclérose est une maladie des petites artères qui pénètrent dans le cerveau pour le vasculariser. Cette maladie, qui est associée au vieillissement et à l’hypertension artérielle, induit des modifications de la paroi artérielle qui peut aboutir à un rétrécissement ou une occlusion de la lumière artérielle ou à une rupture de la paroi. Cette artériopathie peut se compliquer d’infarctus de petite taille (dits lacunaires) ou d’hémorragies cérébrales, qui peuvent ou non se manifester par des symptômes neurologiques aigus, en fonction de leur siège et de leur volume. La particularité de ces hémorragies cérébrales est de siéger dans les régions profondes du cerveau (Fig. 1).
L’angiopathie amyloïde cérébrale est une autre cause fréquente d’hémorragie cérébrale du sujet âgé. Cette maladie est liée au dépôt d’un peptide (sorte de protéine) dans la paroi des petites artères, notamment celles vascularisant les couches superficielles du cerveau. La rupture de la paroi artérielle fragilisée par cette maladie provoque des hémorragies cérébrales dont la particularité est d’atteindre les régions superficielles du cerveau et de récidiver fréquemment.
Les malformations vasculaires cérébrales (MAV) pouvant être responsables d’hémorragies cérébrales sont de plusieurs types. Cette cause est plus fréquente chez le sujet jeune. Les principales sont les malformations artério-veineuses cérébrales (connexion directe entre artères et veines sans interposition du lit capillaire) (Fig.1), les cavernomes (agglomérat sous forme d’une petite sphère bien délimitée de vaisseaux sanguins anormalement dilatés) et les anévrismes artériels cérébraux (dilatation localisée de l’artère).

Fig. 1 : Artériographie montrant une communication directe entre artère et veine (sans interposition d’un lit capillaire) (A) et sa guérison après embolisation de la malformation (B)
Les troubles de la coagulation, à l’origine ou favorisant la survenue d’une hémorragie cérébrale, peuvent être d’origine congénitale (ex : hémophilie) ou surtout d’origine acquise, comme la prise de médicaments anticoagulants qui est une cause fréquente d’hémorragie cérébrale.
Il existe d’autres causes ou facteurs favorisants comme les tumeurs cérébrales, les thromboses veineuses cérébrales, des artériopathies cérébrales inflammatoires ou infectieuses, l’alcoolisme…
Causes des hémorragies méningées
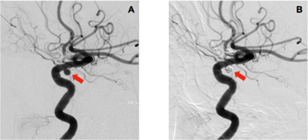
La rupture d’un anévrisme artériel cérébral est la principale cause d’hémorragie méningée. L’anévrisme artériel correspond à une zone de fragilité de la paroi responsable d’une dilatation localisée de la paroi d’une artère aboutissant à la formation d’une poche de taille variable, communiquant avec l’artère au moyen d’une zone rétrécie que l’on nomme le collet (Fig. 1). Le siège de prédilection des anévrismes intracrâniens est situé sur les bifurcations des grosses artères de la base du crâne, au niveau du polygone de Willis. Le principal facteur majorant le risque de rupture est la taille de l’anévrisme.

Fig. 1 : Artériographie cérébrale montrant un anévrisme artériel de l’artère carotide interne (A) et sa guérison après embolisation (B) (flèche)
Les autres causes sont d’autres malformations vasculaires cérébrales ou médullaires, des lésions artérielles, des troubles de la coagulation… qui sont aussi responsables, pour la plupart, d’hémorragies cérébrales. Dans environ 10% des cas, aucune cause n’est mise en évidence.